Laureato nell'ottobre del 2008 a Napoli e specializzato in “Malattie infettive, profilassi e polizia veterinaria” nel luglio del 2011 nella stessa facoltà.
I principali campi d’interesse sono la chirurgia generale e specialistica, l’ortopedia preventiva ed articolare, la traumatologia e la diagnostica per immagini avanzata.
Benvenuto nella nostra Clinica Veterinaria Diaz
La Clinica Veterinaria Diaz si trova a Portici (NA), via Armando Diaz, n.118/A.
Disponiamo di nuovi locali con avanzate tecnologie ed attrezzature come la TAC VETERINARIA e la RISONANZA MAGNETICA per la diagnostica per Immagini.
Una Clinica Veterinaria a Portici, all’avanguardia, per tutti gli amanti di cani e gatti ed i loro pelosetti, e servizi per Veterinari Professionisti.
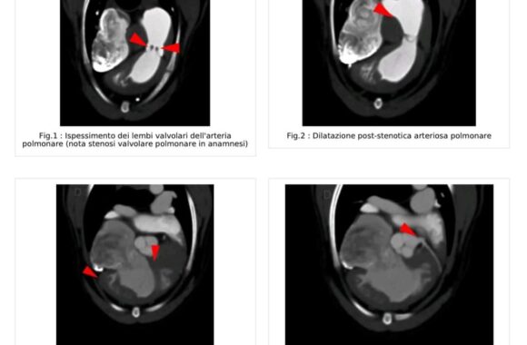
Il Servizio Tac Veterinaria a Portici
Attualmente l’unica clinica veterinaria di Napoli e provincia che ha a disposizione una TAC Multistrato da 128 strati in struttura, ultra veloce (total body in meno di 15 sec.), con refertazione in 24h/48h.
Vuoi sapere come funziona la TAC?

Risonanza Magnetica
Nella nostra Clinica Veterinaria è possibile effettuare la Risonanza Magnetica
Vuoi sapere come funziona una Risonanza Magnetica?? leggi l’articolo
Che differenza c’è tra TAC e Risonanza Magnetica?? leggi l’articolo
Contattaci per saperne di più oppure prenota un appuntamento

Stai cercando un
Veterinario?
La nostra assistenza veterinaria qualificata
La Clinica Veterinaria Diaz esegue con grande professionalità e passione Visite Specialistiche, Esami di Laboratorio, Chirurgia, Degenza, Diagnostica per Immagini, Tac Veterinaria, Risonanza magnetica veterinaria…
La medicina veterinaria è in costante crescita e la nostra Clinica adotta trattamenti e macchinari all’avanguardia per prenderci cura del tuo animale domestico.
Affidati ai nostri Professionisti
Il nostro Staff specializzato e qualificato
Lo Staff delle clinica Veterinaria Diaz è altamente specializzato e qualificato, conduce il Direttore Sanitario Dott. Ciro Marra.
Ci impegniamo a fornire un servizio che soddisfi le esigenze di tutta la tua famiglia – attraverso la nostra competenza medica, un livello insolitamente elevato di servizio clienti e supporto educativo. Alla clinica veterinaria, è nostra speranza superare le vostre aspettative ad ogni visita!
Assistenza sanitaria preventiva e immunizzazione
L’assistenza preventiva annuale con un veterinario autorizzato è una delle cose più importanti che puoi fare per garantire che il tuo animale viva più a lungo, una vita più sana e si goda al massimo il tempo con te. Miglioreremo la salute e il benessere di tutti gli animali.

















